初次使用的人员可能使用起来得心应手,但对于拍摄的影像图上各种明暗度代表着什么又说不清楚,特别是对于胸透拍CT一样,很多人拿到CT底片只看到黑和白,不知道拍片的作用在哪里,如何看懂影像图呢?这是这篇文章主讲的重点。
目前市场上的XRAY检测设备与CT检测设备是一样的原理,都是采用X射线穿透物体进行拍摄作业,通过分析拍摄的影像图来分析该部位是否存在异常。

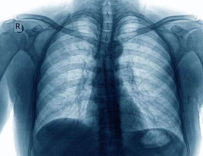
从上图拍摄的胸透CT影像,可以清晰的看到肋骨、骨骼等组织,如果胸腔有病变,则胸腔位置会出现异常影像,医生就是根据这个来判断是否存在组织病变,以确定是否需要进一步检查。这个和工业XRAY检查机的原理是一致的。
这些黑白灰是如何形成的,形成的原理是什么,接下来重点讲到,如下图:

X射线源发射X射线在穿过物质时,会出现一定程度的衰减,最后到达探测器上,探测器再将信号传输到显示器,就形成了我们看到的影像,至于衰减多少这个要根据物质的密度来看,首先我们都知道原子是物质的基本组成单位,原子之间的缝隙越大,X射线穿过就如入无人之境,出现衰减的现象就会忽略不计,这个怎么理解,例如半米宽的门,要走过300斤的人难度很大,但如果走过一个100斤的人却轻而易举,光也是一样,X射线是一种波长0.001nm~10nm之间的光,在穿过原子间隙为100nm或以上的物质时,衰减比例很小,于是大量的光线穿过落在探测器上就形成了亮斑,而在穿过0.000001nm的物质时就会因为穿不透或者少量穿透而形成黑斑,这就形成了亮斑与黑斑了,至于灰色,不同的物质密度不同,于是穿透的力度明暗不一,黑白灰也就顺理成章了。









